- 材料・方法が定められている。
- あくまでも日常生活に支障のないレベルへ回復することが目的。
- より高いレベルでの治療を提供することが可能。
- 費用が高くなってしまう。
歯医者の治療では保険治療と自由診療の2種類があります。
保険治療は健康保険法によって定められた診療で、材料・方法が定められています。
保険治療は悪くなってしまった歯を「日常生活に支障のないレベルへ回復する」ことを目的としているため、「より快適にする」「よりきれいにする」「長持ちさせる」「将来悪くならないように予防する」といった目的には保険を適応できません。
つまり、最低限度の治療しか認められていないのです。
自由診療は保険診療に比べ、十分な時間や金属アレルギーになりにくい材料を導入することができ、より高いレベルでの治療を提供することが可能です。
一手間かけて製作を行うため、保険治療とは作業工程も異なります。より精度の良いかぶせ物を作るために、型取りの材料に変形することのない精密なシリコン材を使うことで、高い精度の型ができます。この一手間が出来上がりの良し悪しを左右するのです。
将来のことを考え、しっかりと治療を行いたいという患者さまならば、間違いなく自由診療をおすすめします。ただ、自由診療は保険治療に比べれば、費用が高くなります。「出来るだけ安い費用で済ませたい」という患者さまの気持ちは、本当によくわかります。
ただ、私たちが黙って保険治療をし続けるわけにはいきません。患者様の選択と自由を無視してしまうことになるからです。
ですので、私たちは、決して無理に自由診療をすすめるのではなく、それぞれの治療法がお口にどのような影響を与えるのか説明していきます。
治療方法はワンパターンではありません。私たちが、皆様にとってよりよい治療法を提案させていただきますが、最終的には患者様ご自身で自由に選択していただきたいのです。
ご不明点あれば、ご納得いただけるよう説明いたしますのでお気軽にご相談ください。
インレー
小さな虫歯がお口の中にできた場合、その部分だけを削って、つめ物を入れます。なるべく歯の本来の機能を損なわないように、削る部分は最小限にとどめています。
クラウン
虫歯が大きく歯が欠けたり、割れたりする可能性が高い場合、また虫歯が神経まで達していて、神経の治療を行った場合は、削った歯全体に冠をかぶせます。
ブリッジ
歯が無くなった場合に、元のかみ合わせを再現するために、両隣の歯と連結した形の冠をかぶせます。連結するときに、両隣の歯を一部削って整えます。
※価格は全て税別表記です
※自由診療には形成料+印象料が別途10,000円【税別】必要
総入れ歯
金属(チタン・コバルトクロム・金など)のフレームと強化プラスチック・セラミックスの歯
- 自由診療
- 当院推奨
- 5年補償
機能性・耐久性を重視される方に
| 費用 | チタン330,000円 コバルトクローム270,000円 金属や歯の種類・装置に依ります ※印象料が別途15,000円(税別)必要 |
|---|---|
| 特徴 | チタンをはじめ、最新の材料・方法で異物感を軽減します。精密な高い技術と長い時間を要するため、高額になります。しかし、熱伝導性が高いため味覚を損なわず、ピタッと吸着し、使い心地は非常に心地よいものとなります。また、強く壊れにくいのも特徴です。 |
全てプラスチック
- 保険適応
| 費用 | 約8,000円〜 保険の種類・失った歯の本数に依ります |
|---|---|
| 特徴 | 健康保険で決められた材料(全てプラスチック)・方法のみに限定されます。厚いので違和感が強く、喋りにくいことがあります。補修は簡単にできますが、材質的に割れたり折れたりしやすいという限界があります。 |
部分入れ歯
ノンクラスプデンチャー
- 自由診療
- 当院推奨
- 5年補償
見た目を重視される方に
| 費用 | 片側120,000円 ※印象料が別途15,000円(税別)必要 |
|---|---|
| 特徴 | 従来の入れ歯に見える金属のバネがありません。大きく口をあけても入れ歯だと分からない口元を実現できます。 |
金属のフレームと強化プラスチックの歯
- 自由診療
- 5年補償
| 費用 | 約200,000円〜 金属の種類・装置に依ります |
|---|---|
| 特徴 | チタンをはじめ、最新の材料・方法で異物感を軽減します。精密な高い技術と長い時間を要するため、高額になります。しかし、熱伝導性が高いため味覚を損なわず、ピタッと吸着し、使い心地は非常に心地よいものとなります。また強く壊れにくいのも特徴です。コンパクトで見た目が非常に綺麗に仕上がります。補修が必要な場合には、お預かりする必要があるため、少しお時間をいただく場合があります。 |
プラスチックと針金(金属)のバネ(クラスプ)
- 保険適応
| 費用 | 約4,000円〜 保険の種類・失った歯の本数に依ります |
|---|---|
| 特徴 | 健康保険で決められた材料(全てプラスチック)・方法のみに限定されます。厚いので違和感が強く、喋りにくいことがあります。将来的に歯が抜け落ちた時に補修は簡単にできますが、材質的に割れたり折れたりしやすいという限界があります。また、バネのかかった歯をいためやすく、喪失の原因となります。 |
インプラント(費用の目安 総額:税込50万円~)
インプラント手術
- 自由診療
- 10年補償
| 費用 | 180,000円 ※印象料が別途15,000円(税別)必要 |
|---|---|
| 特徴 | インプラントは、あごの骨にしっかり固定されているので、自分の歯のようにしっかりと噛むことができます。今までのような美味しい食事が楽しめる訳です。また、ブリッジと違って両隣の歯も削らずに済みます。負担する力も従来と同じ程度の負担で済みますから、両隣の歯の寿命を縮めることもありません。 |
アバットメント+仮歯(TEK)
- 自由診療
- 10年補償
| 費用 | 100,000円 ※印象料が別途15,000円(税別)必要 |
|---|---|
| 特徴 | インプラントは、上部構造(被せ物)とインプラント体(歯の根っこの部分)に分けられます。それらを連結させる部分をアバットメントと言います。上部構造をインプラントに固定するための役割を果たします。仮歯は、上部構造が入るまでの間に使用していただく仮の歯です。 |
ゴールドクラウン
- 自由診療
- 10年補償
| 費用 | 150,000円 ※印象料が別途15,000円(税別)必要 |
|---|---|
| 特徴 | 最も適合が良く、二次的な虫歯になりにくいです。生体にやさしく、天然歯に近い硬さをもつため、対合歯を傷つけません。ただ、見た目があまり良くないので、噛む力の強い奥歯での使用に適しています。 |
メタルボンドクラウン
- 自由診療
- 10年補償
| 費用 | 150,000円 ※印象料が別途15,000円(税別)必要 |
|---|---|
| 特徴 | 中身は金属で、外から見える部分にのみセラミック(陶器)を貼り付けた被せ物です。見た目が良く、変色せず強度も強いので、非常によく使用されます。中身が金属なので割れにくく、ほとんどの部位に使用できます。ただ、歯茎や歯と歯茎の境目が変色してくる場合があります。 |
ソケットリフト
- 自由診療
- 10年補償

| 費用 | 50,000円 ※印象料が別途15,000円(税別)必要 |
|---|---|
| 特徴 | 上顎にインプラントを埋める際、鼻の横の空洞(上顎洞)が近くて、 少し骨が足りない場合に行います。サイナスリフトと比較すると、処置が簡便で短時間で行うことができます。ただ、骨造成できる量はサイナスリフトと比較し少ないため、応用範囲が限られます。 |
骨造成(GBR)
- 自由診療
- 10年補償

| 費用 | 150,000円 ※印象料が別途15,000円(税別)必要 |
|---|---|
| 特徴 | 骨が不足している部分に、膜を覆うことで骨を作るスペースを確保し、その中に、骨のもとになるものを詰めて、骨の再生を促す治療法です。インプラントを埋め込むのに十分な骨の厚み、幅がない場合に用います。 |
浅い虫歯の詰め物(インレー・アンレー修復)
ジルコニア
- 自由診療
- 当院推奨
- 5年補償
見た目を重視される方に
| 費用 | 小28,500円 中33,500円 大38,500円 (大きさによって料金が異なります) ※形成料+印象料が別途10,000円(税別)必要 ※ブリッジは+15,000円(税別)必要 |
|---|---|
| 特徴 | 自分の歯と同じ色をしているので、誰にも気付かれないほど自然です。金属を全く使用していないため、身体への悪い影響はありません。東京の成城にある専門の技工所と提携しているため、お手頃な価格で提供しています。 |
ゴールドインレー
- 自由診療
- 5年補償
| 費用 | 小25,000円 大40,000円 (大きさによって料金が異なります) ※形成料+印象料が別途10,000円(税別)必要 ※ブリッジは+15,000円(税別)必要 |
|---|---|
| 特徴 | 腐蝕に強いため、耐久性が非常に高く、適合が良いのが特徴です。噛む力が強く、圧力が強くかかる奥歯の使用に向いています。また、生体にやさしく、アレルギーの方にも使用できます。天然歯とほぼ同じ硬さであることから、対合歯を傷つけないのも特徴です。 |
銀歯(パラインレー)
- 保険適応
| 費用 | 1,500円〜 (処置内容により多少異なります) |
|---|---|
| 特徴 | 保険が適用されるため、安価なのが特徴です。ただし、銀の特性から、お口の中が黒っぽく見えがちになります。表面から腐食し溶け出してくるため、全身への悪影響が心配され、腐食した表面には汚れがつきやすく、歯周病やむし歯の原因となりやすい短所があります。 |
深い虫歯のかぶせもの(クラウン)
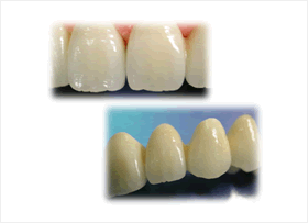
フェイス・ジルコニア
- 自由診療
- 当院推奨
- 5年補償
見た目を重視される方に
| 費用 | 21,500円〜 83,500円 (ランクによって異なります) ※形成料+印象料が別途10,000円(税別)必要 |
|---|---|
| 特徴 | ジルコニアクラウンは、金属を全く使用しないかぶせ物です。歯ぐきの変色や金属アレルギーなどの心配が無く、強度も強いので、奥歯やブリッジに使用することも可能です。見た目も自然の歯とほとんど変わりません。東京の成城にある専門の技工所と提携しているため、お手頃な価格で提供しています。ランクによって適用箇所、料金が異なります。 |
ゴールドクラウン
- 自由診療
- 10年補償
| 費用 | 150,000円 ※形成料+印象料が別途10,000円(税別)必要 |
|---|---|
| 特徴 | 最も適合が良く、二次的な虫歯になりにくいです。銀歯と違い、金属の溶け出しによる歯ぐきの変色、金属アレルギーなどが起こる可能性は低いです。天然歯に近い硬さを持つため、対合歯を傷つけません。噛む力の強い奥歯での使用に適しています。 |
オールセラミックス
- 自由診療
- 10年補償
| 費用 | 100,000円 ※形成料+印象料が別途10,000円(税別)必要 |
|---|---|
| 特徴 | 金属を全く使用しないため、天然歯に近く、大変きれいな形状を維持することができます。また、変色もしないので、長期にわたってきれいにご利用いただけます。ただ、極度の衝撃がかかると、割れやすいという欠点があるので。前歯や小臼歯の使用に適しています。 |
銀歯(パラクラウン)
- 保険適応
| 費用 | 3,000円〜 (処置内容により多少異なります) |
|---|---|
| 特徴 | 保険が適用されるため、安価なのが特徴です。ただし、銀の特性から、お口の中が黒っぽく見えがちになります。表面から腐食し溶け出してくるため、全身への悪影響が心配され、腐食した表面には汚れがつきやすく、歯周病やむし歯の原因となりやすい短所があります。 |
かぶせた歯を支える「歯の柱」(コア修復)
ファイバーの柱(ファイバーコア)
- 自由診療
- 当院推奨
- 5年補償
機能性・耐久性を重視される方に
| 費用 | 21,000円 |
|---|---|
| 特徴 | ファイバーを芯に持ち、光を通す、大変美しい柱です。適切な弾力があるので、歯が折れにくく、長期間にわたって歯を守ります。また、オールセラミックスとの相性が非常に良いです。 |
金属の柱(メタルコア)
- 保険適応
| 費用 | 510円〜 |
|---|---|
| 特徴 | 銀合金です。まれに歯肉の変色をもたらすことがあります。 また、金属なので光の透過性がなく、暗い感じに見えることがあります。 |











